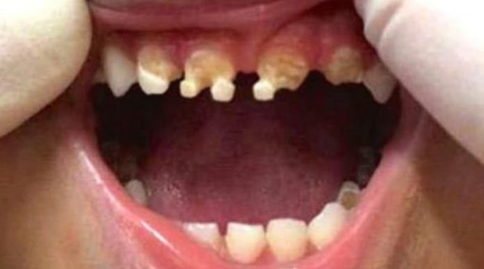
Понад 93% людей різного віку страждає від карієсу зубів ! Ми знаємо про це захворювання дуже багато, але в той же час недостатньо …
Щоб у дорослої людини не виникло карієсу, потрібно проводити профілактику ще в дитинстві. На жаль, однією регулярним чищенням зубів не обійтися, адже головна причина неприємної хвороби – карієсогенні бактерії .
Цими бактеріями дорослі заражають дітей, передаючи їх через поцілунки і столові прибори. Батьки дуже часто допускають фатальні помилки у випадку охорони здоров’я власних дітей …
профілактика карієсу
Деякі тата і мами самі не особливо люблять чистити зуби і не змушують проробляти цю процедуру своє чадо. Бувають і інші крайнощі: батьки змушують дітей полоскати рот содовим розчином для повного знищення бактерій. Від цього нестійка емаль руйнується і карієс швидко знищує маленькі зубки.
Також не варто забувати, що цукор – кращий друг карієсу. Навіть напої, на упаковці яких є напис «без цукру», все ж містять його, нехай і не в такій великій кількості. Мама з Нової Зеландії поїла 3-річну дитину колою без цукру, а в результаті стоматолога довелося вирвати хлопчикові 11 зубів!

ПРИЧИНИ КАРІЄСУ У ДІТЕЙ
- Стрептококові бактерії, що передаються від батьків дитині.
- Захворювання і стрес під час вагітності, прийом антибіотиків.
- Неповноцінне харчування.
- Недотримання гігієни рота.
- Часте і тривале за часом вживання солодкого.
Ось кілька ділових рекомендацій від досвідченого стоматолога, які допоможуть уникнути карієсу і дітям, і дорослим. Ми вважаємо своїм обов’язком про це розповісти!
ПРОФІЛАКТИКА КАРІЄСУ ЗУБІВ
- Регулярно чистити зуби не тільки щіткою, але і зубною ниткою.
- Ніколи не їж солодке в якості останнього блюда. Солодощі потрібно заїдати твердими овочами або фруктами, після цього полоскати рот і жувати жувальну гумку, що містить ксиліт.
- Не їж солодощі, не пий солодкі газовані напої між прийомами їжі.
- Ніколи не їж солодке на ніч.
- Занадто солодкі і дуже кислі напої пий через соломинку.
Ретельно дотримуючись правил гігієни і дотримуючись культуру споживання вуглеводів, можна будь-коли дізнатися, що таке карієс! Про це необхідно пам’ятати і батькам малюків, і тим, чиї діти давно виросли. Поділися з друзями цієї потрібної статтею!
Джерело: samiysok.com